20 Oct Cirugía Bucodental: Más Allá de los Implantes Dentales
Qué es cirugía bucodental “más allá de los implantes”
En Artdenta, cuando hablamos de cirugía bucodental “más allá de los implantes”, nos referimos a intervenciones sobre dientes, encías, mucosa oral y hueso maxilar orientadas a controlar infecciones, estabilizar la función y armonizar la sonrisa, sin colocar dispositivos implantarios. Es un campo amplio de cirugía oral que resuelve problemas reales del día a día.
Definición de Cirugía bucodental
Son procedimientos de procedimientos quirúrgicos en tejidos orales que no implican implantar tornillos en el hueso. Incluyen extracciones complejas (cordales), apicectomías, cirugía periodontal, mucogingival y estética rosa, exposición de dientes incluidos, biopsias y quistectomías.
Objetivos clínicos de la cirugía bucodental
Controlar infección e inflamación, facilitar prótesis y ortodoncia cuando requieren soporte quirúrgico, y conseguir una sonrisa gingival equilibrada cuando la anatomía no ayuda.
https://full-measure.org/alumni/
Anestesia y Cirugía bucodental
La mayoría se realizan con anestesia local, recuperaciones de horas a pocos días y protocolos estandarizados. En casos seleccionados, valoramos sedación consciente con anestesiólogo para mayor confort del paciente, siguiendo los estándares que aplicamos también en nuestra línea de Implantología y cirugía oral.
Cuándo y para qué recurrimos a la cirugía en la boca
Objetivo sanitario
Lo primero es la salud. Cuando existe un foco que irrita o infecta, nuestra prioridad es apagar ese “incendio” de forma segura y definitiva. Hablamos de abscesos que van y vienen, quistes que crecen en silencio o bolsas periodontales profundas que ya no responden al raspado convencional. En esos escenarios, la cirugía oral deja de ser una opción “extra” para convertirse en el paso que permite resolver el problema de raíz.
Un caso muy típico es la fístula que aparece junto a un diente con endodoncia correcta. No es que el tratamiento esté mal hecho; a veces, pese a todo, persiste una lesión en la punta de la raíz. En esas situaciones proponemos una cirugía periapical: accedemos por fuera, limpiamos el foco y sellamos el extremo de la raíz con materiales biocerámicos. Suele ser un procedimiento breve, con alta tasa de éxito cuando la indicación es la adecuada.
Objetivo funcional

La boca no es un escaparate; es un sistema que tiene que funcionar cada día. Queremos que puedas masticar sin molestias y limpiar fácilmente para mantener el resultado en el tiempo. A veces, pequeñas irregularidades óseas o el “techo” de la encía impiden llegar bien con el cepillo. Una regularización suave del hueso o un colgajo de acceso bien planificado pueden transformar una zona complicada en un área higienizable. El beneficio no es solo inmediato; también reduce el riesgo de recaídas.
En periodoncia quirúrgica lo vemos con claridad: al abrir con un acceso mínimo, retiramos la placa y el cálculo que se esconden en profundidad. Ese gesto técnico, sumado a una buena técnica de cepillado y revisiones periódicas, devuelve estabilidad al soporte del diente y te pone la vida más fácil cada mañana frente al espejo.
Objetivo estético-gingival
La encía es el marco de la sonrisa. Su posición y grosor influyen tanto como el color del diente. Cuando hay raíces expuestas que dan sensibilidad y “alargan” visualmente los dientes, o cuando al sonreír se muestra encía en exceso, los injertos de encía y los recontorneados controlados nos permiten devolver proporciones armoniosas. No se trata de “cortar por cortar”, sino de respetar la biología y colocar cada tejido donde mejor funciona y mejor se ve.
Con técnicas como la tunelización y el desplazamiento coronal, podemos cubrir recesiones y engrosar biotipo en zonas delicadas. El resultado que buscamos es doble: mayor confort al frío y al cepillado, y una sonrisa más equilibrada sin artificios.
Criterios de indicación
Decidir operar es un acto reflexivo, no impulsivo. Indicamos procedimientos quirúrgicos de la cavidad oral cuando el tratamiento conservador ha llegado a su límite, cuando la anatomía hace inviable una solución solo con limpieza profunda, o cuando el balance riesgo/beneficio es claramente favorable para ti. Esta decisión se sustenta en datos: exploración clínica detallada, sondaje periodontal, radiografías y, cuando aporta seguridad, un estudio en 3D con CBCT.
Extracciones quirúrgicas y terceros molares (cordales)
Indicaciones finas
Las muelas del juicio no siempre hay que retirarlas. Las extraemos cuando dan más problemas que soluciones: pericoronaritis que se repite y te impide comer con normalidad, caries que dañan al segundo molar, quistes silenciosos que van creciendo, apiñamientos con impacto clínico real o dolor por compresión del nervio. Nuestro criterio es claro y conservador: no “sacamos por sistema”, tomamos la decisión cuando la salud a medio y largo plazo sale ganando de forma evidente.
Un ejemplo muy común: una cordal semierupcionada que inflama la encía de forma recurrente y te deja con mal sabor de boca cada pocas semanas. Ahí, la extracción quirúrgica resuelve el foco y evita que el segundo molar acabe pagando las consecuencias.
Planificación

Antes de hablar de bisturí, miramos. Y miramos bien. Estudiamos la relación de la raíz con el nervio dentario inferior o el seno maxilar mediante radiografía periapical y, cuando aporta seguridad, CBCT en 3D. Analizamos angulación, profundidad y espacio disponible. Con esa “hoja de ruta” diseñamos un acceso conservador que minimiza riesgos y acorta la recuperación.
Técnica en breve
La intervención se basa en hacer lo justo y necesario, ni más ni menos. Realizamos colgajos pequeños y precisos, osteoplastia mínima y odontosección para dividir la muela en partes si hace falta, todo ello con abundante irrigación y suturas finas y atraumáticas. Esta forma de trabajar, propia de la cirugía oral moderna, reduce el trauma en los tejidos y se traduce en menos inflamación para ti.
Recuperación y éxito
Tras la cirugía, lo normal es notar más inflamación entre las 48 y 72 horas, junto con algo de trismo (dificultad para abrir la boca). Vamos guiando tu higiene desde las primeras 24–48 horas, con pautas claras para que limpies sin miedo. Para nosotros, el éxito no es solo “quitar la muela”: es que no haya alveolitis, que recuperes la sensibilidad con normalidad y que vuelvas a tu rutina sin sobresaltos.
Te daremos instrucciones por escrito y un plan de analgesia; pequeños detalles como dormir con la cabeza un poco elevada o aplicar frío intermitente marcan la diferencia en cómo te sientes los primeros días.
Complicaciones y prevención
La mejor complicación es la que no ocurre. Para evitar la alveolitis pedimos no fumar y no hacer enjuagues vigorosos el primer día; es un gesto simple que reduce mucho el riesgo. La planificación 3D disminuye las posibilidades de afectar al nervio y, si la extracción está cerca del seno, sellamos el área y te damos pautas como no sonarte con fuerza ni succionar.
Si algo no encaja —dolor en aumento después del tercer día, sangrado que no cede— preferimos que nos llames. Atajar a tiempo cualquier incidencia hace que todo siga el curso previsto y te ahorra preocupaciones.
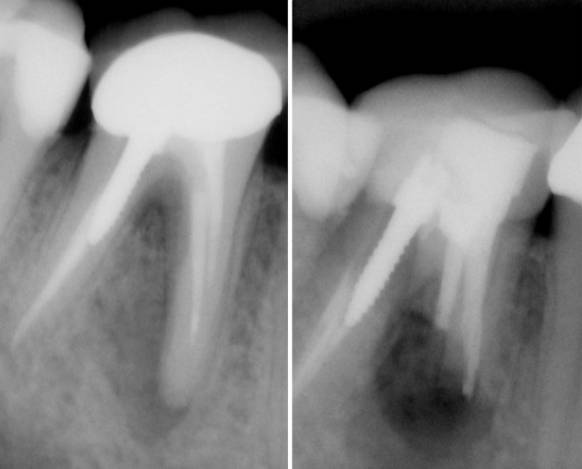
Cirugía periapical (apicectomía y sellado retrógrado)
Dónde encaja

Indicamos esta microcirugía cuando, pese a una endodoncia bien realizada, persiste una lesión apical que no cede y el retratamiento ortógrado no es viable o ya ha fracasado. Es una vía conservadora para salvar el diente sin recurrir a la extracción: tratamos el problema “por la punta” de la raíz, donde se mantiene el foco.
Selección de caso
El pronóstico empieza en el diagnóstico. Valoramos la longitud radicular remanente (necesitamos suficiente raíz para que el diente sea estable), el tamaño y la forma de la lesión, si existe poste en el conducto y la proximidad a estructuras críticas como el nervio o el seno. Cuando estas variables se alinean, la probabilidad de éxito es alta y, sobre todo, predecible.
Técnica clave
Accedemos al ápice mediante una ventana ósea precisa, resecamos aproximadamente 3 mm de la punta de la raíz y preparamos una cavidad retrógrada con ultrasonidos. Posteriormente sellamos con materiales biocerámicos (MTA/BC) y controlamos la hemostasia para mantener un campo limpio. El objetivo es doble: eliminar el foco y crear un sellado estanco que impida futuras filtraciones.
Pronóstico y alternativas
En casos bien indicados, las tasas de éxito se sitúan alrededor del 80–90%, con controles radiográficos a los 6 y 12 meses para verificar la cicatrización. Si el diseño del caso no es favorable, priorizamos el retratamiento ortógrado cuando es posible; y si el diente no ofrece garantías de longevidad, explicamos con transparencia la opción de extracción y la planificación restauradora posterior. La clave está en escoger la estrategia que te dé el mejor resultado a medio y largo plazo.
Cirugía periodontal de acceso y regenerativa
Objetivos por escenario
El colgajo de acceso permite descontaminar y reducir bolsas que el raspado no logra resolver. La regeneración tisular guiada se reserva para defectos intraóseos de 2–3 paredes o algunas furcas, cuando la anatomía permite ganar inserción de manera predecible.
Protocolo clínico
Despegamos de forma limitada, realizamos raspado y alisado meticulosos, seleccionamos biomateriales si aportan ventaja y cerramos de forma hermética. En biotipos finos, el manejo tisular es especialmente delicado para preservar papilas.

Determinantes del éxito
La morfología del defecto, el control de placa, el hábito tabáquico y la adherencia a mantenimiento periodontal condicionan el resultado. Lo medimos con sondaje, sangrado y estabilidad clínica.
Resultados esperables
Reducción real de la profundidad de sondaje, ganancia de inserción clínica y menor sangrado al sondaje. El objetivo final es estabilizar el diente y facilitar la higiene diaria.
Cirugía mucogingival y estética rosa
Injertos de tejido blando
Indicamos injertos de tejido conectivo en recesiones múltiples, hipersensibilidad o para engrosar biotipo antes de carillas o coronas. Empleamos tunelización y colgajo desplazado coronal, con injerto palatino o matrices de colágeno cuando están indicadas. El espesor e inmovilización del injerto y la abstinencia de tabaco son críticos. La meta es cobertura radicular parcial o total y engrosamiento estable a 6–12 meses. Caso tipo: recesión en incisivo inferior con biotipo fino que mejora significativamente tras injerto conectivo + desplazamiento coronal.
Gingivectomía, gingivoplastia y alargamiento coronario
Tratamos la sonrisa gingival por erupción pasiva alterada o la hiperplasia medicamentosa, y generamos ferrule biológico para coronas mediante alargamiento coronario. Planificamos con sonda ósea y guía estética, respetando siempre el ancho biológico. La resección de tejido blando, con o sin osteoplastia, y las suturas finas permiten márgenes estables, simétricos y fáciles de higienizar.
Frenectomía labial y lingual
Indicada cuando el frenillo tracciona la papila y perpetúa un diastema, cuando el diastema reaparece tras ortodoncia o en anquiloglosia con impacto funcional. Ejecutamos la liberación con bisturí o láser y pautamos ejercicios si es lingual. La recuperación es rápida y con control funcional guiado.
Exposición de dientes incluidos para ortodoncia
Cuándo compensa
Compensa cuando el diente retenido —habitualmente el canino superior— tiene potencial eruptivo y una posición razonable. En esos casos, abrir una pequeña “ventana” y guiarlo con ortodoncia nos permite evitar extracción y prótesis, integrando tu propio diente en la arcada. Es una solución conservadora que, bien indicada, ofrece resultados muy estables.
Estrategia
Decidimos entre ventana cerrada o abierta según la altura y el grosor de la encía. Adhesivamos un pequeño elemento de tracción (botón o cadena) y aplicamos fuerzas ligeras y continuas coordinadas con el ortodoncista. Cuidamos especialmente los tejidos en zonas estéticas para minimizar la recesión y mantener unas papilas sanas y simétricas.
Riesgos controlables
Monitorizamos la posible anquilosis del diente incluido y la reabsorción radicular de piezas vecinas con revisiones clínicas y radiográficas. El objetivo es un movimiento fisiológico, lento y seguro. Si algo no progresa como esperamos, ajustamos fuerzas o redefinimos la trayectoria de tracción para proteger el tejido y el pronóstico.
Biopsias y microcirugía de lesiones orales
Cuándo biopsiar
Indicamos biopsia cuando una úlcera no cicatriza en más de dos semanas, ante leucoplasias o eritroplasias, nódulos de nueva aparición o lesiones quísticas. No es un trámite; es la prueba que nos da el diagnóstico definitivo y permite planificar el tratamiento con seguridad y sin conjeturas.
Tipos y logística
Podemos realizar una biopsia incisional (tomamos una porción) o excisional (extirpación completa), según tamaño y localización. Cuidamos márgenes y profundidad, enviamos la muestra a anatomía patológica y documentamos con fotografía clínica. Con ese informe, afinamos la pauta terapéutica y explicamos con claridad los siguientes pasos.
Quistectomías y manejo de cavidades óseas
Diagnóstico previo: ver bien para decidir mejor
Antes de programar una quistectomía necesitamos una imagen nítida del problema. Empezamos con radiología 2D para ubicar la lesión y estimar su tamaño. Si intuimos cercanía al nervio dentario inferior o al seno maxilar, pasamos a CBCT: el 3D nos revela límites reales, tabiques, adelgazamientos corticales o expansión ósea. Con esa cartografía quirúrgica elegimos el acceso, anticipamos riesgos y definimos si conviene una fase previa de descompresión. Tras la exéresis, la pieza va siempre a anatomía patológica: el diagnóstico definitivo lo dicta la histología, no la radiografía.
Cuándo operar y qué alternativas conservadoras considerar

Operamos cuando la lesión crece, se infecta de forma repetida o compromete dientes y estructuras vecinas. En cavidades muy grandes —especialmente en jóvenes— valoramos descompresión o marsupialización para reducir presión interna y favorecer la neoformación ósea, transformando una cirugía de alto riesgo en un procedimiento más seguro y predecible. Es una estrategia de pasos cortos, pero firmes.
Abordaje quirúrgico: enucleación segura y respeto tisular
La técnica de elección es la enucleación completa de la lesión con legrado suave de las paredes. Buscamos el plano entre la cápsula y el hueso sano, con hemostasia controlada y un acceso lo bastante amplio para ver, pero lo bastante contenido para conservar soporte. Si la cápsula abraza la raíz de un diente clave, estudiamos mantenerlo con tratamiento endodóntico antes o después; si la afectación es severa, explicamos con claridad la necesidad de extracción y el plan de sustitución posterior. En el maxilar, si hay comunicación con el seno, sellamos el antro y protegemos la mucosa para evitar sinusitis postoperatoria. El objetivo: eliminar por completo la lesión sin “pagar peajes” innecesarios en tejidos sanos.
Regeneración ósea: cuándo injertar y con qué materiales
No todas las cavidades requieren injerto. Si las paredes son estables, el coágulo se organiza y el hueso se regenera por sí mismo. En defectos amplios o con poca contención, la regeneración guiada ayuda a mantener el espacio y acelerar la maduración. Podemos combinar xeno-injertos o materiales sintéticos con membranas reabsorbibles, y mejorar la estabilidad del coágulo con PRF (fibrina rica en plaquetas) del propio paciente. No se trata de “rellenar por rellenar”, sino de crear un entorno donde el organismo pueda reconstruir un hueso funcional y predecible.
Riesgos específicos y cómo los minimizamos
En mandíbula, el riesgo es la alteración sensorial del labio/mentón por cercanía al nervio; lo reducimos con CBCT, instrumentos finos y mínima tracción. En maxilar, cuidamos el sellado del seno y damos pautas de no presión (no sonarse, no succionar) durante los primeros días. También vigilamos la estabilidad de los dientes vecinos: si alguna raíz queda desprovista de hueso, planificamos su manejo (endodoncia, ferulización o restauración) para asegurar el pronóstico.
Seguimiento estructurado: el tiempo también cura
Revisamos con radiografía a los 3–4 meses y a los 6–9 meses; en lesiones grandes o con potencial de recidiva, añadimos un control al año. Correlacionamos imagen con clínica: ausencia de dolor, encía estable y función normal.
Qué puede notar el paciente y señales de alarma
Es normal cierta inflamación y tirantez los primeros días. Debe consultarse si aparece dolor en aumento tras el tercer día, fiebre, sangrado que no cede o salida de líquido por la nariz al beber en cirugías cercanas al seno. Detectar pronto simplifica las soluciones.
Resultados que buscamos y cómo medirlos
Buscamos tres cosas: lesión resuelta sin recidiva, hueso que permita función (y futuras rehabilitaciones si fueran necesarias) y sensibilidad normal en la zona. Cuando planificación, técnica y seguimiento se alinean, los resultados son estables y, sobre todo, tranquilos para el paciente.
En Artdenta entendemos que acercarse a la cirugía bucodental impone respeto. Nuestro compromiso es explicarte con claridad qué necesitas, por qué y cómo se realiza, con el mismo estándar que aplicamos en Implantología y cirugía oral. Si te estás valorando, una revisión con diagnóstico por imagen y un plan por fases te darán tranquilidad y resultados predecibles. La clave es simple: información comprensible, técnica precisa y seguimiento cercano.
